Correlazione tra alterazioni posturali e problemi di occlusione dentale
dott.ssa Daniela Costa
Università degli Studi di Genova
Scuola di Scienze Mediche e Farmaceutiche

Corso di Laurea in Fisioterapia
Coordinatore : Prof. C. Gandolfo
Correlazione tra alterazioni posturali e problemi di occlusione dentale: valutazione dell’ambito di competenza e ruolo del fisioterapista nel trattamento correttivo-riabilitativo multidisciplinare.
Relatore:Prof. Marco Mezzasalma
Candidato:Daniela CandidatoCosta
Anno accademico 2011-2012
CAPITOLO 1
APPARATO STOMATOGNATICO
L'apparato stomatognatico è un complesso anatomo-funzionale costituito da organi e tessuti i quali svolgono funzioni digestive (salivazione, masticazione, deglutizione), respiratorie e di relazione (fonazione, mimica). Questo sistema è costituito non solo da mandibola e A.T.M., ma anche da colonna cervicale, dall’osso ioide, dal complesso faringeo, dai denti, dalla lingua, dal sistema vascolare e linfatico e infine dal sistema neuromuscolare che interagisce con queste strutture.
ARTICOLAZIONE TEMPORO-MANDIBOLARE
1.1 Anatomia articolare
L’Articolazione Temporo-Mandibolare (o ATM) è una diartrosi condiloidea doppia che si stabilisce tra i due condili della mandibola e le fosse mandibolari delle due ossa temporali. Per definizione quindi, è mobile e provvista di una membrana sinoviale. L’articolazione viene considerata doppia in quanto tra il condilo mandibolare e la cavità articolare del temporale si interpone un disco fibrocartilagineo (il menisco) che suddivide la cavità articolare in due parti non comunicanti tra loro; l’articolazione viene cosi distinta in due settori, temporo-meniscale emandibolo-meniscale o condilo-meniscale. La superficie articolare della mandibola è costituita dal condilo mandibolare che, in corrispondenza della sommità del processo condiloideo, forma un rilievo ellissoidale con il maggior asse volto medialmente e in dietro. La superficie articolare temporale è data dalla parte anteriore della fossa mandibolare e dal tubercolo articolare del processo zigomatico. La porzione della superficie articolare mandibolare si può dividere più specificamente in tre zone chiamate postero-anteriormente: fossa propriamente detta, eminenza e cresta del temporale

1: CONDILO DELLA MANDIBOLA. 2MENISCO ARTICOLARE. 3CAPO INFRATEMPORALE MUSC. PTERIGOIDEO ESTERNO. 4FOSSA DEL TEMPORALE . 5EMINENZA DEL TEMPORALE. 6CRESTA DEL TEMPORALE
Le due superfici articolari che si affrontano sono discordanti. La concordanza viene stabilita per la presenza del menisco articolare che ha forma biconcava ed è mantenuto in sede antero-posteriore proprio in virtù della sua morfologia, delle sue concavità, che si articolano con le convessità del condilo e dell’eminenza articolare , ed in sede latero-mediale attraverso i legamenti collaterali (che lo legano ai poli mediale e laterale del condilomandibolare).

I mezzi di unione dell’articolazione sono dati dalla capsula articolare e dai legamenti a distanza. La prima avvolge tutta l’articolazione ed è rafforzata dal legamento posteriore di rinforzo e anteriormente dal legamento temporo-mandibolare; nei secondi si distinguono il legamento sfenomandibolare e il legamento stilomandibolare, che rispettivamente originano dalla spina angolare dello sfenoide e dal processo stiloideo temporale per poi andare ad inserirsi a livello della
faccia mediale e al margine posteriore del ramo della mandibola. Tra i legamenti estrinseci dell’articolazione può essere annoverato con il nome di legamento pterigomandibolare, un dispositivo aponevrotico che si estende dall’uncino dell’ala mediale del processo pterigoideo dello sfenoide all’estremo posteriore della faccia interna del processo alveolare della mandibola.

1.2 Fisiologia Articolare
Le articolazioni temporomandibolari (ATM) umane sommano insieme le caratteristiche dinamico-morfo-funzionali delle specie carnivore ed
erbivore. Gli animali carnivori hanno un'articolazione a cerniera preposta ai movimenti di apertura e chiusura, cioè ad azioni di forza esclusivamente verticale. Negli erbivori, al contrario, sono sviluppati principalmente i movimenti di lateralità. Le ATM dei primati, e quelle umane in particolare, presentano una morfologia che è la risultante degli effetti dei e di lateralità destra-sinistra, nonché del movimento di circonduzione, somma di tutti gli altri. Tutti questi movimenti sono possibili grazie a una serie di muscoli appartenenti al cranio e al collo (muscoli masticatori). Nell'esecuzione di un qualunque movimento mandibolare le articolazioni dei due lati intervengono sempre contemporaneamente ed in maniera coordinata, quindi il movimento della mandibola deve essere studiato considerando entrambi i punti articolari. I movimenti avvengono, per un azione combinata di rotazione e traslazione dei condili, nei tre piani dello spazio: piano sagittale mediano, frontale ed orizzontale. Per descrivere i movimenti che la mandibola compie nello spazio occorrerà quindi individuare i piani a cui vogliamo fare riferimento e gli assi attorno ai quali avvengono le rotazioni dei condili. I tre piani che abbiamo nominato sopra sono tra loro ortogonali, il piano sagittale mediano è disposto in senso verticale e passando per la sutura interparietale divide il cranio in due metà speculari, destra e sinistra, il piano frontale il piano orizzontale separa la parte superiore da quella inferiore. Per gli assi di rotazione dei condili, i movimenti di rotazione possono avvenire attorno a tre assi: orizzontale, verticale ed antero-posteriore, e uno solo, quello orizzontale, è comune ai due condili (chiamato asse bicondilare). Questo divide il cranio nelle due parti anteriore e posteriori ed infine Gli assi verticale ed antero-posteriore invece sono entrambi monocondilari essendo ogni condilo attraversato dal proprio asse. Quando i condili ruotano attorno all'asse bicondilare, la loro rotazione è sempre consensuale e la mandibola si muove nel piano sagittale. Se la rotazione avviene attorno ad uno degli altri due assi, si ha invece rotazione di un solo condilo alla volta (condilo ruotante) mentre altro condilo (contralaterale) esegue un movimento traslatorio od orbitante descrivendo un arco di cerchio (condilo orbitante). I movimenti elementari della mandibola sono di tre tipi:
· Movimento di apertura e di chiusura
· Movimenti di protusione e retrusione
· Movimenti di traslazione laterale

MOTO DI APERTURA E DI CHIUSURA
Questi sono dei movimenti che vengono eseguiti nel piano sagittale, si
attuano con rotazione dei condili attorno all’asse bicondilare o con movimenti combinati di traslazione e rotazione dei medesimi. Il movimento di abbassamento può iniziare dalla occlusione centrica o dalla posizione di riposo della mandibola. Nel primo caso le superfici occlusali dei denti delle arcate antagoniste hanno il massimo contatto (intercuspidazione), nel secondo caso tra le superfici occlusali delle arcate contrapposte sussiste un piccolo spazio e la mandibola ha un leggero grado di apertura. Il passaggio dalla occlusione centrica alla posizione di riposo avviene per mezzo di una rotazione di 2 gradi circa della testa del condilo attorno all'asse bicondilare, usando l’articolazione condilo-discale. Prendendo in esame il moto di apertura da una delle due posizioni, il movimento della mandibola può essere diviso in due fasi: rotazione e traslazione dei condili. Il moto di rotazione attorno all'asse bicondilare è di circa 10-12 gradi in senso antiorario, realizzando così una distanza di 2-2,5 cm tra i margini degli incisivi superiori ed inferiori. Durante la rotazione, il moto traslatorio dei condili è di l -2 mm, però la mandibola si abbassa ulteriormente per traslazione bilaterale dei condili che si spostano contemporaneamente in basso ed in avanti, lungo il tragitto condilare. In questa posizione la testa del condilo può fare un ulteriore rotazione che lo sposta fino all'apice del tubercolo articolare, cosicché nella massima apertura lo spazio tra gli incisivi superiori ed inferiori è di 5-6 mm. Nel moto di chiusura della mandibola, che supponiamo inizi dalla massima apertura, abbiamo un moto semplice di rotazione del condilo in senso inverso, seguito da un movimento di rotazione e traslazione combinato con rientro nella cavità del temporale.
MOVIMENTI DI PROTUSIONE E RETRUSIONE NEL PIANO ORIZZONTALE
Questi movimenti, sono realizzati nel piano orizzontale con scorrimento dell'arcata dentaria inferiore su quella superiore, si attua per mezzo della traslazione dei condili, e con una minima rotazione. I movimenti condilari sono bilaterali e contemporanei. L’ampiezza del movimento di proiezione in avanti ha la stessa ampiezza che ha nell'apertura massima della mandibola, nel caso di massimo scorrimento gli incisivi inferiori sopravanzano quelli superiori di 7-10 mm. Nella retroazione avviene il moto inverso.
MOVIMENTI SUL PIANO ORIZZONTALE DI LATERALITA’
Questi movimenti si realizzano sul piano orizzontale e consentono la traslazione della mandibola verso destra e verso sinistra. I movimenti di lateralità si realizzano con mandibola chiusa e aperta, nel primo caso, con scorrimento delle superfici occlusali dei denti contrapposti, nel secondo quando i condili sono provvisti della mobilità nelle cavità articolari. In tutte le altre fasi i movimenti di lateralità sono minimi. Questi movimenti di lateralità sono così realizzati: un condilo ruota attorno l’asse verticale (condilo ruotante), mentre l’altro (il controlaterale) subisce un movimento di traslazione descrivendo un piccolo arco di cerchio (condilo orbitante). Nello spostamento della mandibola verso destra, il movimento avviene per rotazione del condilo destro, che funge da perno, attorno all’asse verticale. Il condilo ruotante subisce sempre una leggera rotazione con spostamento laterale e posteriore, il condilo orbitante viene invece spostato in avanti. Il movimento laterale della mandibola è anche chiamato abduzione, il ritorno alla posizione di riposo, adduzione.
MOTO DELLA MANDIBOLA NEL PIANO SAGITTALE
Per la descrizione di questo movimento si può considerare un punto
situato nello spazio interincisivo centrale della mandibola a partire dalla posizione del condilo in occlusione centrica, e, seguendo tale punto nel corso del movimento di apertura, chiusura, della mandibola, si può verificare che il punto considerato esegue sul piano sagittale un
diagramma descritto nella figura 6 (schema di Posselt). Descriviamo lo schema: si parte dalla posizione di occlusione centrica (O) o da quella di comodo (R), poi la mandibola si abbassa descrivendo un arco di relazione centrica (1), fino al punto terminale CT, da qui in poi l'apertura avviene per traslazione dei condili (2). Giunti al punto di massima apertura (A) la mandibola si innalza (3) e ritorna alla posizione di partenza (O, R) oppure può essere mandata in avanti (4) in condizione di massima protrusione (P) e da qui scivolando indietro con i denti a contatto(5) torna al punto di partenza (O, R).

Schema di Posselt
- Osso Ioide
Anatomia
Osso impari, mediano,mobile che ha la forma di un ferro di cavallo; è
situato nel collo, al di sopra della laringe e al di sotto della mandibola con la quale contribuisce a formare lo scheletro del pavimento della cavità orale. Congiunto, oltre che alla mandibola e allo scheletro della laringe, all’osso temporale, allo sterno, all’estremità sternale della clavicola e alla scapola. Tali connessioni si effettuano tramite legamenti e muscoli. Vi si descrive un corpo che presenta quattro appendici, le due grandi corna e le due piccole corna. Il corpo appare come una lamina diretta trasversalmente; presenta tre facce, superiore, anteriore e posteriore e tre margini,inferiore, anteriore e posteriore. Nella faccia superiore si trovano due fossette per l’inserzione dei muscoli genioioidei; sulla faccia anteriore si inseriscono i muscoli miloioidei e stiloioidei; la faccia posteriore volge in dietro, in basso e
presenta un’accentuata concavità. Il margine inferiore dà inserzione ai
muscoli sternoioidei e omoioidei; il margine anteriore dà parziale attacco al muscolo miloioideo; sul margine posteriore si fissa il legamento tiroioideo mediano. Le grandi corna sono i prolungamenti posteriori del corpo e si dirigono in alto assottigliandosi, per ingrossarsi nuovamente all’estremità. Presentano una faccia superiore per l’inserzione del muscolo ioglosso, una faccia inferiore che dà attacco al muscolo tiro ioideo, un margine mediale su cui si fissano la membrana tiro ioidea e il muscolo costrittore medio della faringe e un margine laterale per l’inserzione del muscolo ioglosso. All’apice delle grandi corna giungono i legamenti tiro ioidei laterali. Le piccole corna hanno origine nel punto in cui il corpo prosegue nelle grandi corna e, per una lunghezza variabile, si dirigono in alto. Sono connesse ai processi stiloioidei delle due ossa temporali mediante i legamenti stilo ioide.
Fisiologia Articolare
L’osso ioide costituisce il punto di appoggio per i movimenti di apertura della mandibola, partecipa alla deglutizione, alla fonazione ed alla respirazione, interviene nel posizionamento del cranio e della scapola; inoltre attraverso le sue connessioni muscolo-fasciali dirette con cranio, mandibola, sterno e scapola ed indirette attraverso i muscoli che dalla scapola e dallo sterno si dirigono cranialmente verso le vertebre cervicali ed il cranio, dalla scapola si dirigono casualmente verso le vertebre toracolombari ed il bacino. Quindi è in grado di influenzare, e di essere influenzato da tutte le regioni corporee. Da sottolineare, quindi, il ruolo da “perno” che l’osso ioide ricopre nell’equilibrio funzionale all’interno dell’apparato stomatognatico e di esso con il resto del corpo.

1.4 Muscoli Masticatori
I muscoli che provocano i diversi movimenti della mandibola, svolgono anche altre funzioni, ma si possono definire muscoli masticatori. Questi muscoli verranno classificati sulla base dei movimenti che fanno compiere alla mandibola assieme all’omonimo controlaterale. Abbiamo quindi:
- Muscoli elevatori
- Muscoli abbassatori
- Muscoli protutori
- Muscoli retrusori
- Muscoli abduttori
- Muscoli adduttori
Muscoli elevatori
Sono i muscoli masseteri, temporali, pterigoidei interni. Questi agiscono nella fase di chiusura della mandibola.
Il massetere è un muscolo di forma rettangolare che si fissa in alto all’arcata zigomatica, in basso alla tuberosità masseterina della faccia laterale del ramo della mandibola. La sua funzione è di sollevare la mandibola e creare tensione nell’occlusione delle arcate dentarie.
Il temporale è un ampio muscolo a forma di ventaglio che, dalla faccia laterale del cranio si dirige in basso e, passando medialmente all’arcata zigomatica, si inserisce con un robusto tendine al processo coronoideo della mandibola. Si distinguono i fasci posteriori, che portano la mandibola indietro aiutando a riportare il condilo nella cavità articolare, e i fasci anteriori che innalzano la mandibola.
Il pterigoideo interno origina dalla fossa pterigoidea e dalla tuberosità del mascellare e si inserisce sulla tuberosità pterigoidea, in prossimità della faccia interna dell’angolo della mandibola. La sua funzione è di innalzare la mandibola.
Muscoli abbassatori
Sono considerati muscoli flessori fisiologici e sono: digastrici, pterigoidei esterni, miloioidei e genioioidei.
Il digastrico forma un’arcata che unisce la mandibola al processo mastoideo mediante due ventri uniti da un tendine intermedio che si fissa all’osso ioide. Il ventre anteriore, con i muscoli miloioideo e genioioideo, prendendo punto fisso sull’osso ioide, abbassano la mandibola.
Muscoli di protrusione e retrusione
Il pterigoideo esterno è il principale protrusore. I fasci posteriori del temporale con l’aiuto del digastrico svolgono la funzione di retrusione.
Il pterigoideo esterno è posto nella fossa infratemporale, medialmente al ramo della mandibola. Origina dalla grande ala dello sfenoide con il capo superiore, e dalla lamina laterale del processo pterigoideo con il capo inferiore, si inserisce sul collo del condilo della mandibola. Questo contraendosi con quello opposto, sposta in avanti la mandibola, se si contrae da un solo lato, la porta in avanti e dal lato opposto.
Muscoli abduttori e adduttori
I muscoli che producono abduzione e adduzione sono i pterigoidei interni e sterni, la mandibola si sposta in direzione del lato controlaterale ai muscoli che si contraggono. L’adduzione della mandibola può essere passiva od attiva, la prima per rilassamento dei muscoli, la seconda per contrazioni dei muscoli del lato verso cui la mandibola si sposta.


- Denti
I denti sono organi destinati principalmente alla prima digestione, cioè
alla masticazione, grazie alla quale il cibo viene totalmente triturato. I denti si distinguono in incisivi, canini, premolari e molari in base alla loro forma. In ogni singolo dente si distinguono due parti: la CORONA, situata al di sopra della gengiva, e la RADICE, inclusa nel processo alveolare; la linea di demarcazione tra le due è detta “colletto del dente” che separa due tessuti differenti: lo smalto che riveste la corona dal cemento che riveste la radice.
La porzione più interna del dente è una cavità chiamata CAMERA PULPARE. Quest'ultima prende anche il nome di canale radicolare, che termina nell'apice della radice con un foro, il forame apicale. All'interno della camera pulpare è racchiusa la POLPA DENTALE.
Nella corona di ciascun dente si distinguono: una faccia mesiale che guarda il dente che lo precede nell'arcata; una faccia distale che guarda il dente successivo; una faccia vestibolare che corrisponde alla superficie esterna, una faccia linguale che corrisponde alla superficie interna, e una faccia occlusale che corrisponde alla superficie di combaciamento con l’arcata antagonista.
I denti sono sostenuti in bocca da una struttura chiamata parodonto composta da:
- gengiva (parte di mucosa che circonda il colletto fino a ricoprire l'osso sottostante)
- legamento parodontale (complesso sistema di fibre che lega
il dente alla sua sede nell'osso)
- cemento (rivestimento esterno della radice dentaria)
- osso alveolare (parete interna dell'alveolo, che è la
sede del dente nell'osso).
I mammiferi e l'uomo hanno una duplice dentizione: una prima dentizione di latte o decidua o temporanea, che comprende 20 denti divisi in due arcate, 10 denti nell'arcata superiore e 10 in quella inferiore, e una seconda dentizione permanente che si sostituisce alla prima e comprende 32 denti, 16 per ciascuna arcata. I primi denti che iniziano a comparire nella bocca del bambino, intorno al 6° e all' 8° mese di vita, sono gli incisivi centrali inferiori, seguono a 8-10 mesi gli incisivi superiori; a 10-12 mesi gli incisivi laterali inferiori, verso i
16 mesi cominciano a crescere i primi molari, verso i 18 mesi i canini e verso i 20 mesi i secondi molari. Normalmente la dentatura è completa tra il 6° e il 30° mese. A volte l'eruzione dei denti può subire ritardi o anticipi. Qualora la dentizione sia molto ritardata bisogna pensare che turbe generali della crescita provochino un rallentamento dell'evoluzione dentale; tali turbe possono essere date da squilibrio di calcio o fosforo, o da carenza di vitamine, oppure, nei casi di ritardi molto pronunciati, da turbe endocrine (ipotiroidismo, ipotimismo, rachitismo, ecc.). Anche per la caduta dei denti vi è lo stesso ordine cronologico come per l'eruzione; le radici subiscono un'atrofia progressiva, finché la corona, priva di sostegno, cade. L'epoca della caduta dei denti decidui corrisponde a quella della fuoriuscita dei denti permanenti.
CAPITOLO 2
LA POSTURA
Per postura possiamo intendere la posizione del corpo nello spazio e la relazione spaziale tra i segmenti scheletrici, il cui fine è il mantenimento dell’equilibrio, sia in condizione statiche che dinamiche, cui concorrono fattori neurofisiologici, biomeccanici, psicoemotivi e relazionali.
Ne consegue che la postura può essere studiata attraverso ciascuno dei seguenti modelli interpretativi: il modello psicosomatico, il modello neurofisiologico, il modello biomeccanico.
2.1 IL MODELLO PSICOSOMATICO
Attorno agli anni ’20 risalgono le prime formulazioni di W. Reich e successivamente di A.Lower sulla profonda relazione esistente tra psiche e soma, tra struttura caratteriale e struttura muscolare.
Con i suoi primi scritti Reich, medico e psicoanalista, allievo di Freud, andò via via affermando l’identità funzionale tra processi psichici e processi somatici, mettendo in relazione la struttura caratteriale con la struttura corporea della persona.Le tensioni accumulate nel corpo e la messa in atto di atteggiamenti finalizzati a bloccare le proprie emozioni, danno luogo, secondo lo studioso, ad una duplice corazza.
Si tratta di una corazza caratteriale, intesa come quell’insieme di atteggiamenti psichici e comportamentali caratteristici di un individuo,che ha un corrispettivo somatico in una corazza muscolare.
Tali atteggiamenti funzionano come un apparato di difesa, contro stimoli sia interni che esterni avvertiti dal soggetto come minacciosi, con la finalità di evitare sentimenti di angoscia.Descritto anche in ambito ortopedico come “stato miotensivo psicogeno”, lo stato di tensione muscolare cronica rappresenta il processo forse più evidente con cui l’Io esprime i propri vissuti emotivi nel corpo. Si può, quindi, affermare che anche la struttura muscolare evidenzia la storia personale di un individuo. La relazione tra postura e personalità è ormai supportata da numerose ricerche scientifiche portate avanti da studiosi provenienti da scuola diverse. E’importante ricordare che per rappresentare ogni singolo individuo nella sua unità psicomotoria, accanto agli aspetti muscolo-tensivi e posturali è essenziale fare riferimento anche ai fattori psiconeuroendocrini, considerati come il sistema di mediazione e di modulazione tra componenti psichiche ed emotive da un lato e fattori organici e biologici dall’altro. La formazione della corazza corporea avviene attraverso l’innalzamento del tono basale, cioè con un eccesso di tensione della porzione contrattile della fibra muscolare. Se questa perdura nel tempo,viene interessata anche la porzione connettivale dando luogo all’accorciamento vero e proprio del sistema muscolare che produrrà l’alterazione della corretta successione articolare. Così uno stato miotensivo a partenza emozionale può evolvere ad associarsi ad una problematica biomeccanica.
IL MODELLO NEUROFISIOLOGICO
Il sistema tonico posturale, regolatore del tono muscolare, è un sistema di tipo cibernetico all’interno del quale avviene una complessa serie di processi psiconerofisiologici. In questo sistema le informazioni in entrata, provenienti da specifici recettori della postura (il piede, l’occhio, l’apparato stomatognatico, la cute, l’apparato muscolo-scheletrico, ecc.) condizionano l’output, ovvero il tono muscolare. Tuttavia, tale condizionamento in uscita è a sua volta il risultato di una elaborazione sugli input da parte dei processi neuropsicologici ed esperenziali. Quindi, un disequilibrio posturale non necessariamente indica un problema originario a livello delle entrate sensoriali, ma può essere collegato ad una non corretta integrazione del sistema centrale: i centri corticali individuano gli obiettivi statici o dinamici mentre i centri sottocorticali, utilizzando una mappatura definita “schema corporeo”, attuano le strategie esecutive. I centri corticali individuano il “cosa”, i centri sottocorticali il “come”.
Inoltre, i centri sottocorticali, attraverso il circuito gamma, regolano il tono basale. Essendo il “cosa” prioritario sul “come”, la rappresentazione soggettiva dello schema corporeo determina la qualità dell’impiego muscolare: tanto meno lo schema corporeo è ben rappresentato, tanto più il sistema muscolare verrà impiegato in eccesso di tensione, in cocontrazione di muscoli non necessari all’azione sino ad organizzare momenti sostitutivi, in cui muscoli anatomicamente deputati ad una data azione vengono sostituti da altri (abilità emergenti). I centri sottocorticali, inoltre, sono implicati nelle strategie difensive mirate alla salvaguardia della vita attraverso meccanismi di contrazione muscolare distinguibili in “fisiologici” e “funzionali”.
La contrazione muscolare, in funzione delle variabili forza/tempo, determina accorciamento residuo del muscolo stesso: minore è il tempo e la forza di contrazione, minore è l’accorciamento residuo; maggiore è la forza ma soprattutto il tempo, maggiore è l’accorciamento residuo. L’accorciamento muscolare e la conseguente asimmetria corporea non sono riscontrabili solo nelle persone che lamentano una patologia/sintomatologia ortopedica, ma presenti in ogni essere umano, indotti da contrazioni muscolari automatiche in risposta ad un dato evento. Nella seguente trattazione, per “fisiologici” si intendono quei meccanismi di contrazione muscolare che ogni essere umano utilizza come risposta ad un dato evento/stimolo; per “funzionali” si intendono quei meccanismi di contrazione muscolare che ogni essere umano utilizza, ma con una variabile soggettiva per quantità e qualità che risponde alla domanda “quello che a me serve”.
Entrambi i meccanismi sono controllati dai centri sottocorticali. I sottocorticali sono centri atavici nell’evoluzione filo-ontogetica dell’Uomo e tra i loro compiti primari c’è quello di adottare strategie utili alla conservazione della vita.
Meccanismi fisiologici
Sono la reazione muscolare in contrazione tenuta nel tempo a seguito di un evento traumatico ortopedico.
Esempio: evento accidentale e distorsione tibio-tarsica.
I centri sottocorticali inviano, tramite il gamma motoneurone, un messaggio di contrazione a tutti i muscoli periarticolari in modo da immobilizzare l’articolazione. Tale contrazione durerà sino a che le strutture endo-articolari lesionate non saranno riparate. Il tempo di contrazione in tenuta sarà proporzionale al danno; di conseguenza, lo sarà anche l’accorciamento muscolare residuo.
Meccanismi funzionali
Sono contrazioni muscolari tenute nel tempo, costituite fondamentalmente da un aumento più o meno consistente del tono basale e sempre attivate dai centri sottocorticali tramite il gamma motoneurone, che hanno lo scopo di attenuare e/o eliminare dolori presenti (riflesso antalgico a posteriori) o di impedire che dolori latenti si manifestino (riflesso antalgico a priori). La contrazione muscolare tenuta per un dato tempo, sino a che non provoca conflitti strutturali, ha un effetto antalgico. Nel loro lavoro di salvaguardare la vita i centri sottocorticali hanno un solo tempo: “qui ed ora”.
Un dolore e/o un impotenza funzionale saranno avvertiti col significato di “morte” e si dovranno quindi adottare strategie di evitamento. In quest’ottica: il
“Riflesso antalgico a posteriori”
Rappresenta l’estrema strategia di difesa nel tentativo di prolungare la vita il più possibile. Le persone in fase dolorosa acuta spesso assumono posture contorte ma, come dicono gli stessi pazienti, così stanno un po’ meglio.
Tale strategia difensiva risulta utile nell’immediato ma, se perduta nel tempo, diventerà causa dell’insorgenza di ulteriori conflitti meccanici.

I meccanismi fisiologici ed il riflesso antalgico a posteriori intervengono solo in alcuni momenti della vita e da soli non bastano a spiegare la sommatoria di accorciamenti ed asimmetrie presenti nel corpo. Queste sono causate principalmente dal:
“Riflesso antalgico a priori”
E’ un riflesso perennemente attivo ad ha l scopo di evitare che dolori/conflitti meccanici latenti si rivelino. Il progressivo accorciamento muscolare, sino a che non crea conflitti, impedisce la slatentizzazione dei disagi muscolo-scheletrici. I centri sottocorticali utilizzano il sistema muscolare distribuendo gli accorciamenti in modo da alterare sistemicamente le sequenze articolari cercando di evitare conflitti locali. Il riflesso antalgico a priori si manifesta anche tramite l’assunzione di posture o tramite il movimento, coartando la persona a delle scelte motorie. Tali coercizioni in un primo momento, sono inconsapevoli: si “sente” il bisogno/desiderio di muoversi o di posizionarsi nello spazio in un dato modo. Se le modificazioni in accorciamento della muscolatura divengono più importanti, le coercizioni motorie della muscolatura divengono finalizzate consapevolmente ad evitare l’insorgenza del disagio. Se il meccanismo di accorciamento sistemico della muscolatura perdura nel tempo, localmente potranno determinarsi dei conflitti e dar luogo ad un circuito di autoalimentazione in cui coesistono i due riflessi antalgici
In conclusione, il corpo umano, nel vivere, non può aderire al modello anatomico anche a causa dei sistemi protettivi dei centri sottocorticali che permettono di vivere al meglio delle possibilità “qui ed ora” sacrificando il “poi”. Per far ciò i centri utilizzano il sistema muscolare in aumento del tono basale e/o in contrazione muscolare creando un effetto di tipo antalgico; se l’aumento di tensione avviene per un tempo sufficiente,produce l’accorciamento del muscolo. Ciò sarà causa di:
- Accorciamenti muscolari sistemici;
- Accorciamenti muscolari analitici di alcuni gruppi dominanti, per vettore di forza, rispetto ad altri;
- Alterazioni distrettuali e sistemiche della fisiologica sequenza articolare scheletrica.
IL MODELLO BIOMECCANICO
Nel modello biomeccanico vengono analizzate le modalità con cui il sistema muscolo-scheletrico si “organizza” nella statica e nella dinamica. Nella statica, gli squilibri posturali si evidenziano con la perdita della fisiologica sequenza articolare dei vari segmenti scheletrici nei tre piani dello spazio; nella dinamica con l’impossibilità di effettuare il movimento utilizzando al meglio le forze muscolari. Per garantire l’assialità dei segmenti scheletrici, come pure il movimento articolare fisiologico, è necessario che le forze muscolari siano bilanciate. In caso contrario, i punti di applicazione delle forze vettoriali muscolari, i loro momenti e la distribuzione dei carichi sui segmenti scheletrici subiscono delle variazioni. Indipendentemente dagli elementi di disturbo primari e dal tipo di perturbazione iniziale, l’alterazione posturale è la risultante dell’interazione tra il “sistema complesso” muscolare ed il “sistema complesso” scheletrico, che dà vita ad un’ interrelazione funzionale “sistema complesso muscolo-scheletrico”. Una perturbazione localizzata provoca un iniziale disallineamento e quindi uno sbilanciamento articolare al quale segue una contrazione muscolare con funzione stabilizzante, ma è anche vero, viceversa, che l’organizzazione della corretta sequenza articolare non può prescindere dell’equilibrio delle tensioni muscolari. L’equilibrio a bassa intensità (tono muscolare) dei vettori muscolari garantisce la coesistenza di una buona stabilità e di una buona mobilità articolare, creando le condizioni affinché il sistema muscolo-scheletrico si ponga “ai limiti del caos”, l’area cioè, dove gli elementi di staticità e dinamicità si esprimono al meglio della possibilità strutturale. Se il bilanciamento delle forze avviene ad alta intensità, l’assialità scheletrica è ancora possibile, ma per il movimento sarà necessario utilizzare una maggiore quantità di energia. Il movimento diverrà disarmonico e le componenti scheletriche subiranno maggiori sollecitazioni. Gli elementi statici prevarranno su quelli dinamici ed il sistema, allontanandosi dal “margine del caos” diverrà rigido. L’equilibrio ad alta intensità (aumento del tono basale) provoca nel tempo un disequilibrio vettoriale a favore delle forze muscolari dominanti e la riorganizzazione di un nuovo equilibrio adattativo, al prezzo di disassiamenti segmentari scheletrici.
Il movimento risulterà limitato o sostituito attraverso la mobilizzazione di altre articolazioni.
CONCLUSIONI
I tre sistemi neuromuscolare, psicosomatico e biomeccanico utilizzano il sistema muscolare nel raggiungimento dei propri obiettivi.
Inoltre, sono interagenti ed interdipendenti: qualunque sia il sistema primariamente implicato nel disequilibrio, gli altri devono attuare strategie adattative per permettere la salvaguardia della funzione al meglio delle possibilità. L’azione sul sistema muscolare si esprime attraverso l’aumento del tono basale e la contrazione muscolare distrettuale e sistemica. Nel caso in cui contrazione muscolare e/o aumento del tono basale si verifichino per sufficiente tempo, si ha l’interessamento della porzione connettivale delle fibre muscolari con accorciamento residuo che determinerà il disallineamento della fisiologica sequenza articolare.
Ciò sarà a sua volta causa di contrazione muscolare ed innalzamento del tono basale dando vita ad un circuito di autoalimentazione.
CAPITOLO 3
OCCLUSIONE E MALOCCLUSIONE
3.1 OCCLUSIONE
Per occlusione si intende genericamente qualsiasi rapporto tra le arcate allorquando anche solo alcuni dei rispettivi denti vengono a contatto tra di loro, sia con mandibola ferma che durante i movimenti funzionali delle articolazioni temporo-mandibolari. Normalmente, in posizione di riposo, i denti non sono in contatto, ma le due arcate sono separate da uno spazio libero (freeway space). In una situazione di buon funzionamento dell’apparato stomatognatico (occlusione abituale fisiologica), quando le due arcate dentarie occludono (deglutizione, fase terminale della masticazione), lo fanno nella posizione più stabile, cioè quella caratterizzata dal massimo numero di contatti fra elementi antagonisti (posizione di massima intercuspidazione), con distribuzione uniforme dei carichi masticatori, nel rispetto delle strutture parodontali, muscoli masticatori in tono normale e articolazioni temporomandibolari. Queste situazione di equilibrio è dunque legata a diversi fattori tra loro correlati:
- La forma delle arcate dentarie
- Le articolazioni temporo-mandibolari
- I muscoli masticatori
- Il controllo neuromuscolare
Ogni variazione a carico di una di queste componenti provoca un alterazione nell’equilibrio che, quando supera la capacità di compenso del soggetto (molto variabile da persona a persona) sfocia in una situazione patologica. Una corretta occlusione risponde, nella posizione di massima intercuspidazione (ICP), ai seguenti tre parametri:
1) I denti superiori si collocano all’esterno degli inferiori,di circa mezza cuspide per quanto riguarda i molari e i premolari.
2) Gli incisivi superiori coprono gli incisivi inferiori di circa 2mm.
3)I primi molari permanenti inferiori sono anteriori di mezza cuspide rispetto ai primi molari superiori pertanto tutti i denti, siano essi superiori che inferiori, toccano due denti antagonisti intercuspidandosi in maniera stabile.
Un'occlusione ottimale è associata ad un’azione armonica dei muscoli masticatori il cui sforzo muscolare è minimo. Al contrario se vi è un’alterazione dell’occlusione essa richiede sforzi muscolari addizionali di stabilizzazione. Per concludere con il concetto di normocclusione sembra corretto dire quindi, che essa non è limitata al semplice raggiungimento di una buona estetica e di un buon ingranaggio dentale, ma va oltre. Secondo molti Autori, "raggiungere la normocclusione significa ottenere l'armonia statica e dinamica tra le strutture basali-neuromuscolari, strutture dentali, e i tessuti molli”. Ciò significa, quindi, rispettare non solo la funzionalità dei denti, ma anche quella di tutti i muscolo tra loro concatenati.
3.2 MALOCCLUSIONE
Quando la dentatura non è corretta, ovvero quando si manifesta un combaciamento dentale anomalo, è presente una malocclusione.
Bisogna tenere conto che certi difetti tendono a risolversi o attenuarsi spontaneamente, mentre altri richiedono l’intercettamento più precocemente possibile. Qui si inserisce quella parte di ortodontia chiamata “Ortodontia intercettava” definita come:
- Terapia precoce con finalità di prevenzione.
- Correzione della malocclusione iniziale allo scopo di evitarne l’aggravamento.
- Individuazione, valutazione, controllo dei meccanismi di aggravamento della malocclusione iniziale.
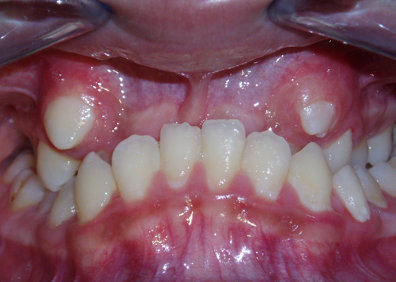
La malocclusione può essere legata a difetti circoscritti alla singola arcata ( intra-arcata) e/o a difetti dei rapporti tra le due arcate dentali (inter-arcata). Ci sono infatti malocclusioni dentali anche gravi con arcate singolarmente perfette; questo per dislocazione di un arcata rispetto all’altra.
Difetti intra-arcata
Cause: alterazione di numero e forma degli elementi dentari, agenesie, rotazioni, dislocazioni, inclusioni di denti.
Manifestazioni: affollamenti e disallineamenti ( quando manca spazio)
Spaziature interdentali ( nelle eccedenze di spazio )
Difetti inter-arcata
I difetti dei rapporti tra le arcate si estrinsecano sui tre piani dello spazio e in base ai quali si classificano:
- Piano frontale
( esempio: morso aperto, morso coperto )
- Piano orizzontale
( esempio: morso contratto, incrociato, inversione del morso)
- Piano sagittale
( esempio: 2^ e 3^ classe)
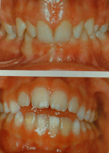
3.2.1 Alterazioni sul piano frontale
Morso aperto
E’ presente molto spazio verticale fra i denti anteriori superiori e inferiori. Oltre al fatto di perdere il sigillo delle labbra, in questi casi si instaura anche una deglutizione, detta infantile, con la lingua che spinge violentemente fra le due arcate, probabilmente per cercare di ottenere quella chiusura che permetta una depressione utile alla deglutizione. Le principali cause di del morso aperto sono il ciuccio e il dito in bocca.
Morso coperto
gli incisivi superiori coprono eccessivamente quelli inferiori, a volte completamente. Se gli incisivi superiori sono flessi anteriormente creando così uno spazio trasversale eccessivo tra loro e gli incisivi inferiori (overjet), questa situazione fa perdere la chiusura delle labbra (sigillo labiale) e obbliga la lingua ad un lavoro anomalo a ogni deglutizione di saliva. Se gli incisivi superiori sono piegati posteriormente, ciò può condizionare i momenti della mandibola costringendola a stare più indietro.

3.2.2 Alterazioni sul piano orizzontale
Nelle alterazioni sul piano trasversale i rapporti tra i molari superiori e quelli inferiori sono alterati: i molari superiori, che dovrebbero essere più esterni rispetto ai corrispondenti inferiori, spesso non lo sono. Rientra in questa categoria:
Morso incrociato
denti di un lato o di entrambi i lati combaciano in modo inverso rispetto alla norma (il molare superiore rimane più interno anziché più esterno all’inferiore). Il morso incrociato monolaterale è quasi sempre accompagnato da spostamento laterale di mandibola e mento verso il lato dell’incrocio. In tali casi è comune il sovraccarico della articolazione dello stesso lato della deviazione (il condilo viene compresso verso la cavità articolare) e una contrattura muscolare asimmetrica.
Nel morso incrociato bilaterale la simmetria può essere conservata ma l'occlusione patologica limita i movimenti funzionali della mandibola causando lo spasmo (contrazione) dei muscoli facciali.


Morso inverso
Si riscontra nelle classiche malocclusioni di III classe. In questo caso esiste uno spazio trasversale tra incisivi superiori e inferiori a causa di protrusione della mandibola (per cui gli incisi inferiori risultano anteriori ai superiori).

Anche qui risulta compromesso il sigillo labiale e la normale funzione di deglutizione e masticazione. Contrazioni e inversioni possono interessare uno o più denti fino a tutta l’arcata superiore; in questo caso, l’alterazione sul piano trasversale si associa al raggruppamento delle alterazioni del piano sagittale.
- Alterazioni sul piano sagittale
Si intendono tutte quelle alterazioni in cui un’arcata è troppo avanzata o troppo arretrata rispetto all’altra. Esse vengono classificate in tre classi ortodontiche:
- 1°classe: rapporti antero-posteriori normali
- 2°classe: arcata superiore avanzata rispetto l’inferiore (superiore troppo avanti e/o inferiore troppo indietro )
- 3°classe: arcata superiore arretrata rispetto l’inferiore (superiore troppo indietro e/o inferiore troppo avanti )
Le tre classi ortodontiche posso essere :
-Dentali ovvero legate ai rapporti intercuspidali,classificati secondo Agle.
-Scheletriche ovvero legate ai rapporti tra mascellari secondo misurazioni effettuate sulla radiografia laterale del cranio (teleradiografia ).
La classificazione di Angle prende in considerazione il rapporti del primo molare dei canini
I classe – il primo molare superiore e/o il canino superiore risulta
arretrato di mezza cuspide rispetto al corrispondente inferiore.
II classe – il primo molare superiore e/o il canino superiore risulta avanzato di almeno mezza cuspide rispetto al corrispondente inferiore.
III classe – il primo molare superiore e/o il canino superiore risulta arretrato di almeno mezza cuspide rispetto al corrispondente inferiore.

1^ classe dentale

2^ classe dentale

3^ classe dentale
Alterazioni sul piano antero-posteriore, alterazioni sul piano verticale, alterazioni sul piano trasversale possono essere associate in tutte le possibili combinazioni. Esempi: morsi contratti con morsi profondi o
aperti e/o con seconda o terza classe.
Tipica l’associazione del morso profondo con la 2° classe (2° classe 2° divisione).
Tutte le alterazioni sui tre piani dello spazio possono interessare solamente gli elementi dentali o anche le strutture ossee dei mascellari
Alterazioni scheletriche antero-posteriori e verticali sono evidenziabili attraverso misurazioni effettuate sulla radiografia del cranio a bocca chiusa nella proiezione laterale : teleradiografia
Sulla quale si tracciano dei punti anatomici, da qui delle misure lineari e angolari che consentono di ricavare valutazioni sulla posizione delle strutture ossee.

CAPITOLO 4
CORRELAZIONI TRA ALTERAZIONI DI OCCLUSIONE E POSTURA
4.1 CONNESSIONE TRA OCCLUSIONE E POSTURA
Fisiologicamente, non dovrebbe esserci connessione tra occlusione dentale e postura: se però la dentatura è posizionata patologicamente questa connessione può aver luogo. La modalità per cui uno squilibrio occlusale anche di modesta entità possa avere ripercussioni sull’assetto corporeo è di tipo “non lineare”.
A differenza della matematica lineare,in cui vi è una diretta proporzione tra stimolo ed effetto, nella matematica non lineare, anche una piccola variazione può essere in grado di produrre effetti sensibili. Da un punto di vista lineare, quindi, squilibri occlusali non dovrebbero interessare grandi spostamenti di masse corporee, cosa invece possibile da un punto di vista non lineare. Essendo la connessione tra occlusione e postura una relazione di tipo non lineare, non tutte le persone con problematiche occlusali presenteranno quadri posturali alterati. Gli eventi più comunemente riscontrabili sono tre:
- differenza di lunghezza tra i denti ( pre-contatto),
- eccessivo spazio libero,
- diminuzione o assenza dello spazio libero.
4.1.1 Differenza di lunghezza tra i denti (pre-contatto)
Nel caso in cui in un’arcata dentaria vi siano dei denti troppo corti o lunghi, durante il movimento di chiusura della bocca i muscoli masticatori agiranno in maniera asimmetrica e con intensità superiore a quella fisiologicamente necessaria.
La prima conseguenza sarà che il condilo della mandibola del lato dei denti corti per permettere il contatto, dovrà posizionarsi oltre la posizione fisiologica risalendo verso la fossa del temporale. La mandibola avrà così un movimento torsivo. Inoltre la risalita del condilo provoca una proiezione anteriore del menisco. Poiché all’interno della fossa mandibolare vi sono molti recettori, questo evento può scatenare sintomatologie dolorose per lo più localizzate all’ATM, all’orecchio, al capo.

Di conseguenza subentra un’attività muscolare asimmetrica ed in eccesso di intensità che coinvolge non solo i muscoli masticatori ma anche altri distretti muscolari. Le vertebre cervicali perderanno la loro posizione simmetrica, potrà essere elevata una spalla e, se il processo durerà nel tempo, si potrà produrre una serie complessa di alterazioni scheletriche e quindi di postura corporea.
- Eccessivo spazio libero
In condizioni di riposo, cioè con i muscoli masticatori rilassati, i dentiposteriori non dovrebbero essere a contatto, ma presentare uno “spazio libero” (free-way space) di circa 2mm. Questa è la condizione ritenuta di riposo e fisiologica dai centri cerebrali.
Nel caso in cui lo spazio libero sia eccessivo, ad esempio per denti complessivamente “troppo corti”, per mantenere uno spazio libero corretto i muscoli masticatori dovrebbero essere perennemente in tensione.
Per ovviare questo sforzo continuo, il sistema muscolare ed in particolare i muscoli anteriori del collo, prendendo punto fisso sulla terza vertebra toracica, spostano l’intero capo in avanti.
In questo modo le arcate dentarie si avvicinano scaricando il lavoro dei muscoli masticatori. Portare il capo in avanti però significa anche spostare il baricentro corporeo. Per evitare la perdita dell’equilibrio i distretti muscolari sottostanti dovranno attivarsi, modificando l’andamento dell’intera sinusoide vertebrale e, conseguentemente, la verticalità dei segmenti corporei. Anche in questo caso si avrà come conseguenza un’alterazione posturale.
- Diminuzione o assenza dello spazio libero
In questo caso lo spazio libero è ridotto se non assente. Prendendo come esempio il caso in cui i denti siano complessivamente “troppo lunghi”, per mantenere uno spazio libero corretto si attiveranno i muscoli posteriori del collo in modo da arretrare il capo. In questo modo le arcate dentarie si distanziano scaricando il lavoro dei muscoli ioidei. Nuovamente, il baricentro del corpo subirà uno spostamento, stavolta posteriore e, nuovamente, i muscoli sottostanti dovranno attivarsi per il mantenimento dell’equilibrio, agendo sull’intera colonna vertebrale e alterando la verticalità dei segmenti corporei. La conseguenza sarà un’ alterazione posturale.
- ALTERAZIONI DISCENDENTI IN SEGUITO A MAL OCCLUSIONE DENTALE
Tutti gli squilibri posturali visti potranno a loro volta generare l’insorgenza di patologie ortopediche (scoliosi, lombalgie, cervicalgie, ecc.) che potranno essere definite secondarie ad un primario coinvolgimento patologico dell’apparato stomatognatico e sono solitamente raggruppate in tra categorie:
- Alterazioni sul piano sagittale
- Alterazioni sul piano frontale
- Alterazioni sul piano orizzontale
Prima di affrontare le seguenti alterazioni è necessario ricordare il ruolo cardine dell’osso ioide nell’equilibrio tra l’occlusione e la postura. L’osso ioide, attraverso le sue connessioni dirette con cranio, mandibola, sterno, e scapola ed indirette attraverso i muscoli che dalla scapola e dallo sterno si dirigono cranialmente verso le vertebre cervicali ed il cranio e dalla scapola si dirigono caudalmente verso le vertebre toraco-lombari ed il bacino, è in grado di influenzare e di essere influenzato da tutte le regioni corporee. I muscoli ioidei partecipano quindi alle strategie che il sistema mette in atto nel perseguimento dei propri obiettivi, sia in statica che in dinamica. Se i muscoli ioidei entrano in eccesso di tensione e successivo accorciamento, oltre a determinare disassiamenti scheletrici locali e sistemici, potranno determinare disturbi della deglutizione della fonazione.


- Alterazioni sul piano sagittale
La I classe scheletrica corrisponde alla normalità fisiologica ovvero: testa "in centrica" rispetto al tratto cervicale, mandibola "in centrica" rispetto al cranio e lingua "in centrica" sul palato. Queste tre "relazioni centriche" essendo interdipendenti vanno ricercate e valutate contemporaneamente.
Essendo queste, a loro volta, strettamente dipendenti dalla postura in
generale, risulta evidente la necessità di un completo esame posturale.
Nella II classe basale avremo: retrusione della mandibola rispetto alla mascella (corrispondente a dislocazione posteriore alta dei condili rispetto alle fosse temporali con conseguenti traiettorie condilari più ripide), lingua interposta anteriormente a riposo e in deglutizione, sigillo labiale inefficiente in quanto il labbro inferiore risulta posteriorizzato rispetto al superiore. Tale situazione si ripercuote sulla postura cervicale e di conseguenza sulla postura in generale. Si potrà, ad esempio, avere prevalenza del tono muscolare posteriore, estensione dell'occipite rispetto all'atlante (la testa "si apre" sul collo), tratto cervicale in rettilinizzazione ma con concentrazione dell'iperlordosi nel segmento atlante-occipite.
Nella III classe avremo: protrusione della mandibola rispetto al mascella (condili in posizione anteriore e inferiore e quindi traiettorie condilari più dolci), lingua in posizione bassa con appoggio sulla mandibola con conseguente incompetenza del sigillo labiale in quanto, in questo caso, il labbro inferiore risulta anteriorizzato rispetto al superiore. In base alle reazioni individuali si potrà, ad esempio, avere una prevalenza della muscolatura anteriore del collo, occipite in flessione rispetto all'atlante (la testa "si ripiega" verso il petto "chiudendosi" sul collo), con alterazione della fisiologica lordosi cervicale che tende a concentrasi nel tratto inferiore per poi rettilinizzarsi o, addirittura, invertirsi nel tratto superiore.

- Alterazioni sul piano frontale
In questo piano una deviazione laterale della mandibola può condizionare l'armonia dei cingoli scapolari e dei cingoli pelvici instaurando una serie di adattamenti del sistema tonico-posturale.

- Alterazioni sul piano orizzontale
Nel piano orizzontale la deviazione mandibolare può indurre delle
rotazioni del cingolo scapolare o pelvico, omolaterali al lato della
deviazione o creare un sistema incrociato con l'anteriorizzazione del
cingolo scapolare di un lato e del cingolo pelvico del lato opposto.

- DEVIAZIONI SUL PIANO FRONTALE E ROTAZIONI
In presenza invece di un dislocamento laterale della mandibola in chiusura, si ha uno stato di sofferenza a carico dei muscoli coinvolti con il dislocamento stesso (per esempio il temporale posteriore, il pterigoideo esterno omolaterali e temporale anteriore, pterigoideo interno controlaterali. )
Le ripercussioni sulla muscolatura del collo possono interesserare:
- il trapezio superiore omolaterale e sternocleidomastoideo controlaterale, così che la testa subirà una flessione dal lato della deviazione avvicinandosi alla spalla, che risulterà più alta della controlaterale.
- L’elevatore della scapola e gli scaleni omolaterali determinano la convessità vertebrale omolaterali da C1 a C7 e ruotano i corpi vertebrali omolateralmente. In queste condizioni la colonna vertebrale risulterà deviata sul tratto cervicale e inevitabilmente si formeranno altre curve compensatorie a livello toracico e lombare. Il coinvolgimento del rachide provocherà per via riflessa altri squilibri muscolari come per il gran dorsale.


- il gran dorsale: l’accorciamento di questo muscolo, avendo molti punti di inserzione, produce vari effetti scheletrici. Schematicamente si possono distinguere due grandi quadri “A” e “B” che non sempre si presentano puri ma spesso si osservano quadri misti.
Quadro A
In questo quadro sono interessati prevalentemente i fasci del gran dorsale da cresta iliaca ad omero che, avvicinando l’emibacino e la spalla determinano direttamente l’abbassamento della spalla e l’elevazione dell’emibacino e, per risultante meccanica, la concavità laterale omolaterale. Tali fasci, per risultante meccanica, sono responsabili anche della convessità laterale toracico controlaterale e della spalla alta controlaterale.

Se prevalgono le risultanti meccaniche, l‘andamento della colonna vertebrale mostrerà una scoliosi ad ampio raggio a convessità controlaterale, convessità che è in realtà conseguenza della concavità omolaterale causata dall’avvicinamento di spalla ed emibacino.
Il gran dorsale ha inserzione sui processi spinosi da D12 a D7 e, attraverso la fascia toraco-lombare, sui processi costiformi delle vertebre lombari. Il quadrato dei lombi, oltre alla dodicesima costa, ha inserzione sui processi costiformi delle prime tre vertebre lombari. L a loro linea di forza, quindi, non solo è in grado di elevare l’emibacino, ma anche di trazionare la vertebre da L5 A D7. Gran dorsale e quadrato dei lombi sono cioè in grado di opporsi alla risultante meccanica indotta dall’elevazione dell’emibacino mantenendo la colonna vertebrale o arrivando persino a creare una convessità omolaterale. In questo caso si determina una doppia curva in qui il gran dorsale ed il quadrato dei lombi saranno direttamente responsabili della convessità vertebrale lombare e toracica inferiore per trazione diretta sulle vertebre, e della concavità vertebrale toracica superiore come risultante dell’avvicinamento di spalla ed emibacino.
Quadro “B”
Questo quadro è caratterizzato dall’azione associata tra i fasci superiori del gran dorsale ed i muscoli dominanti nell’elevazione del
moncone della spalla. Nel loro insieme questi muscoli hanno una risultante complessiva che determina l’elevazione in adduzione della scapola e l’elevazione della clavicola. Se interessato anche l’omoioideo, l’osso ioide sarà deviato lateralmente.

I fasci toraco-omerali del gran dorsale determinano una convessità laterale toracica nel quadrante inferiore mentre i fasci inferiori elevano l’emibacino e lo ruotano posteriormente.
La convessità laterale toracica è inoltre conseguenza meccanica dell’elevazione del moncone della spalla, direttamente determinata da romboidi e fasci medi del trapezio che, elevando ed adducendo la scapola, possono produrre una convessità omolaterale delle vertebre toraciche.
La convessità vertebrale si ripercuoterà sul quadrante supero-laterale del torace e, concorrerà anche il dentato anteriore che innalzerà la sua tensione nel tentativo di impedire l’adduzione e la risalita della scapola. Essendo però sottodominante, la scapola diverrà punto fisso e la sua trazione si manifesterà sulle coste ( punto mobile ) che si sposteranno lateralmente.
Il quadro associato avrà potenzialmente sullo stesso emilato le seguenti caratteristiche scheletriche, non necessariamente tutte presenti, per azione muscolare diretta:
- scapola elevata ad addotta
- clavicola ascendente
- lateralizzazione dell’osso ioide
- convessità laterale toracica nel quadrante superiore (sopra D7)
- convessità laterale toracica nel quadrante inferiore (sotto D7)
- elevazione dell’emibacino
- postero-rotazione dell’emibacino

Frecce blu: risultante complessiva dell’azione degli elevatori del moncone della spalla e dei fasci superiori del gran dorsale.
Frecce rosa: azione dei fasci costo omerali del gran dorsale.
Frecce verdi: azione dei fasci inferiori del gran dorsale.
Frecce azzurre: azione dei fasci medi del trapezio e romboidi.
Frecce gialle: azione del dentato anteriore.
CAPITOLO 5
VALUTAZIONE E DIAGNOSI DI ALTERAZIONI POSTURALI DOVUTE A DISFUNZIONI DEL PIANO OCCLUSALE DENTALE
5.1 INTRODUZIONE
I disordini e i disturbi a livello del distretto cranio-cervico-mandibolare sono un complesso di patologie ancora poco conosciute che son andate aumentando di numero e di gravità negli ultimi anni di vita. Recenti studi epidemiologici indicano che il 50-60% della popolazione presenta segni e/o sintomi di alterazione funzionale del sistema masticatorio e delle strutture correlate ad esso, e che molti di essi mostrano una postura alterata se confrontata a quella fisiologica. È generalmente accettato che l’eziologia è molto spesso multifattoriale, con diversi fattori predisponenti, precipitanti e perpetuanti. Con il termine predisponenti si fa riferimento a tutte quelle componenti che aumentano la probabilità che compaia una data patologia; i fattori precipitanti sono rappresentati da quegli eventi che determinano l’insorgenza della patologia; e infine quelli perpetuanti sono quelli che determinano un rallentamento del processo di guarigione oppure accelerano la progressione della patologia. Appare quindi fondamentale saper riconoscere ogni segno e sintomo di disfunzione dell’articolazione temporo-mandibolare e delle strutture a sé correlate, pesandone l’importanza e la necessità di trattamento. Questa valutazione non deve basarsi solamente sulla diagnosi medica, ma soprattutto dovrebbe tener conto della specifica condizione di salute del paziente, secondo un modello biopsicosociale, che consente di mettere in relazione il danno alla struttura, con i problemi che esso determina sulle altre aree della salute proposte dall’ICF. Tale modello permette inoltre di costruire un quadro descrittivo generale dello stato di salute del paziente, che servirà da guida nell’identificare gli ambiti possibili d’intervento correttivo e riabilitativo e i fattori prognostici positivi e negativi legati alla persona o all’ambiente fisico e sociale in cui essa vive. Inoltre, una valutazione funzionale condotta in modo corretto permette di escludere con maggior precisione la presenza di controindicazioni al trattamento e/o identificare i pazienti da indirizzare ad altri professionisti sanitari o verso un approccio di tipo multidisciplinare. Infine, come per qualsiasi atto medico-sanitario, è indispensabile ottenere dal paziente il consenso al piano di trattamento dopo averlo dettagliatamente informato sulla diagnosi e prognosi, sui benefici attesi, sulle possibili alternative, sui rischi e sulle complicanze della terapia proposta.
L’efficacia e il successo del trattamento passano attraverso una corretta diagnosi che può essere formulata solo dopo una dettagliata anamnesi e un accurato esame clinico.
- ANAMNESI
la raccolta della storia clinica del paziente è un momento fondamentale nella conduzione di un esame clinico: permette di rilevare informazioni critiche nell’identificazione di elementi eziopatogenetici, permette di costruire eventuali ipotesi diagnostiche e prognostiche. Questo processo relazionale di acquisizione dei dati è molto complesso e, sebbene fondato su una metodologia severa, costituisce una vera e propria arte che può essere perfezionata solo attraverso la pratica e l’esperienza. Le principali fasi dell’acquisizione del dato anamnestico sono costiuite da:
-Acquisizione dei dati demografici
(nome,cognome,età,occupazione,hobbies,sports,etc)
-Motivo del consulto e descrizione del problema (descrizione del disturbo attuale, localizzazione precisa dell’area dolente, chiedere come è iniziato il disturbo, quando è iniziato, eventuali fattori scatenanti, evoluzione del disturbo).
-Anamnesi patologica remota generale e specifica (interventi
chirurgici,terapie farmacologiche,malattie rilevanti)
-Stato attuale ( descrizione del dolore, scala VAS, che cosa peggiora e/o migliora la sintomatologia dolorosa, difficoltà nello svolgere determinate azioni e attività quotidiane e lavorative)
-Aspettative del paziente ( cosa si aspetta di ricevere dall’intervento
terapeutico).
Per ciascuno di questi momenti vanno poste domande precise, pur nel
rispetto della condizione socio-culturale del paziente e del suo particolare vissuto emozionale. Si può impostare un’intervista servendosi di questionari tipo presi da i “Research Diagnostic Criteria for Temporomandibular disorders”, introdotti per la prima volta nel 1992 da Dworkin e Le Resche, che costituiscono l’attuale classificazione internazionale per i disordini cranio mandibolari.
SUL DOLORE:
Graded Chronic Pain Scale
Please read each question and respond accordingly. For each of the
questions below circle only one response.
1. How would you rate your facial pain on a 0 to 10 scale at the present time, that is right now, where 0 is "no pain" and 10 is "pain as bad as could be"?
Pain as bad No pain as could be
0 1 2 3 4 5 6 7 8 9 10
2. In the past six months, how intense was your worst pain rated on a 0 to 10 scale where 0 is "no pain" and 10 is "pain as bad as could be"?
Pain as bad No pain as could be
0 1 2 3 4 5 6 7 8 9 10
3. In the past six months, on the average, how intense was your pain
rated on a 0 to 10 scale where 0 is "no pain" and 10 is "pain as bad as
could be"? [That is, your usual pain at times you were experiencing pain].
Pain as bad No pain as could be
0 1 2 3 4 5 6 7 8 9 10
4. In the past six months, how much has facial pain interfered with your daily activities rated on a 0 to 10 scale where 0 is "no interference" and 10 is "unable to carry on any activities"? Unable to No carry on interference any activities
0 1 2 3 4 5 6 7 8 9 10
5. In the past six months, how much has facial pain changed your ability to take part in recreational, social and family activities where 0 is "no change" and 10 is "extreme change"?
Unable to No carry on change any activities
0 1 2 3 4 5 6 7 8 9 10
6. In the past six months, how much has facial pain changed your ability to work including housework) where 0 is "no change" and 10 is "extreme change"?
Unable to No carry on change any activities
0 1 2 3 4 5 6 7 8 9 10
7. About how many days in the last six months have you been kept from your usual activities (work, school or housework) because of facial pain?
____Days
SULLA FUNZIONE:
Jaw Function Questionnaire
Jaw Disability Checklist
What activities does your present jaw problem prevent or limit you from doing?
No Yes
Chewing 0 1
Drinking 0 1
Exercising 0 1
Eating hard foods 0 1
Eating soft foods 0 1
Smiling/laughing 0 1
Sexual activity 0 1
Cleaning teeth or face 0 1
Yawning 0 1
Swallowing 0 1
Talking 0 1
Having your usual facial appearance 0 1
- ESAME OBIETTIVO
Risulta fondamentale un accurato esame clinico atto a registrare tutte le informazioni utili per formulare la diagnosi del tipo di disordine e per stabilire la gravità della patologia anche in relazione ai sintomi riferiti dal paziente. Queste informazioni sono determinanti per elaborare un adeguato piano di trattamento guidato dalla necessità del singolo caso e per stabilire la prognosi a breve e lungo termine della patologia; l’esame si rifà ai concetti si:
- ispezione,
- palpazione,
- auscultazione,
- valutazione delle strutture extra ed intra-orali
- esame posturale.
Di seguito proporrò il test diagnostico fondamentale per definire se la causa dell’alterazione posturale e del dolore sia di natura stomatognatica, in particolare occlusale, oppure no:
TEST DIAGNOSTICO PRINCIPE SUL RUOLO DELL’OCCLUSIONE NELLE ALTERAZIONI POSTURALI
(Test dei rulli di cotone o del Bite idrodinamico a vasi comunicanti).
Rulli di cotone:
Interporre due rulli di cotone fra i denti (o due strisce di neoprene spesse 5-6 mm). Far camminare e deglutire più volte il paziente (bastano 5-6 deglutizioni, una ventina di secondi circa) e verificare le variazioni posturali indotte. Se la postura migliora si può ritenere che la bocca sia un fattore scatenante (sindrome discendente), se peggiora attenzione: potremmo essere di fronte ad una occlusione di compenso di una altra causa (occhi, bacino, arto corto ecc.) (sindrome ascendente). In questi casi è opportuno affiancare la terapia posturale ad una terapia occlusale, magari con bite preconfezionati (mioset).
Bite idrodinamico:
Questo tipo di bite impedendo l’abituale occlusione dentale del paziente riprogramma il movimento mandibolare in equilibrio muscolare ( la riprogrammazione avviene ad ogni occlusione). Se la posizione dei denti è interferente con la postura si osserveranno variazioni sensibili della postura in generale, il riallineamento delle vertebre cervicali ed un riposizionamento dell’osso ioide. Soggettivamente il paziente potrà riportare sensazioni di benessere al tratto cranio-cervicale ma anche ai distretti corporei sottostanti. Il bite idrodinamico è utilizzato in sede di esame e non è un mezzo terapeutico; il bite ha la proprietà di far galleggiare la mandibola in modo che la posizione e la dimensione dei denti non costringano, in occlusione, la posizione della mandibola. Esso rappresenta un sistema chiuso che livella le forze in modo che la pressione sia la stessa su ogni superficie dei denti. I muscoli, nel controllo dei movimenti mandibolari, sono così svincolati dall’occlusione e dal sistema propriocettivo intercuspidale.


Se questi test risultano positivi, in una logica causale, diventa auspicabile un invio del paziente allo gnatologo o dentista.
Per quanto riguarda l’esame obiettivo generale dell’apparato stomatognatico e posturale seguiranno:
- L’ISPEZIONE
L’ispezione extraorale sarà orientata a individuare l’eventuale presenza di gonfiori, rossori, cicatrici e asimmetrie facciali o condizioni scheletriche tali da poter rappresentare condizioni morfologiche non favorevoli.
L’ispezione intraorale sarà utile per individuare l’eventuale presenza di condizioni infiammatorie e infettive; inoltre sarà doveroso fare un esame di base della dentizione del paziente( annotando eventuali mancanze numeriche, deviazioni, inclinazioni) e del rapporto occlusale sul piano saggitale( 1°-2°-3° classe , overjet),traversale ( morsi crociati) e verticale (misurando la distanza delle arcate mandibolari e mascellari in posizione di massima intercuspidazione e il possibile overbite).
5.3.2 LA PALPAZIONE
La palpazione viene comunemente condotta su strutture muscolari e articolari del distretto interessato con l’obiettivo di identificare la sorgente del dolore. Focalizzandoci sull’apparato stomatognatico andremo a valutare:
5.3.2.1 Muscoli:
In condizioni normali la funzione o la palpazione di un muscolo non evoca dolore. Se ciò accade si può dedurre che vi sia una comprimissione tissutale per trauma o affaticamento. Durante l’esame va accertata e registrata l’intensità del dolore attraverso l’utilizzo della scala VAS. Vanno valutati eventuali Trigger Points che costituiscono aree d’ipersensibilità associate a dolore mio fasciale irradiato a distanza.
Temporale: la palpazione delle fibre verticali della zona anteriore viene eseguita al di sopra dell’arcata zigomatica anteriormente all’ATM, le fibre trasversali della zona media vanno palpate sopra l’area dell’ATM, le fibre orizzontali della zona posteriore vanno palpate al di sopra e leggermente dietro l’orecchio. L’inserzione tendinea sul processo coronoide si palpa appoggiando l’indice all’interno della bocca in corrispondenza del bordo anteriore del ramo montante della mandibola verso l’alto.

Massetere: la porzione profonda si palpa sull’arcata zigomatica appena davanti al trago facendo scivolare le dita per 2-3 cm verso il basso. La porzione superficiale si palpa esternamente e bilateralmente scivolando con le dita dall’arcata zigomatica verso il bordo inferiore del ramo mandibolare. Il massetere superficiale si può palpare anche pinzandolo esternamente in corrispondenza della branca montante della mandibola.

Pterigoideo interno: la palpazione si esegue con l’indice e il medio posti extraoralmente a livello dell’angolo della mandibola e l’indice dell’altra mano posto intraoralmente in corrispondenza del lato mediale dell’angolo mandibolare.
Pterigoideo esterno: per il capo superiore si esegue la palpazione extraorale ponendo il dito medio inferiormente sull’arco zigomatico a
circa 2 cm anteriormente al trago, invitando il paziente ad aprire la bocca fino a scoprire la concavità superiore dell’incisura mandibolare. Per il capo inferiore si esegue la palpazione intraorale ponendo il mignolo tra l’arcata superiore e inferiore facendo deviare la mandibola omolateralmente in modo da spostare il processo coronoideo verso l’esterno e permettere al diti di inserirsi nel fornice
tra tuber e coronoide stessa tanto da poter raggiungere, delicatamente la zona postero-superiore il più mediale possibile.
I muscoli trapezio e sternocleidomastoideo pur non essendo direttamente responsabili dei movimenti masticatori, vengono presi in esame vista la stretta correlazione tra la loro attività e la posizione dell’articolazione temporo-mandibolare e della testa
Sternocleidomastoideo: la palpazione si esegue bilateralmente partendo dall’inserzione mastoidea dietro l’orecchio e scivolando con le dita per tutta la lunghezza del muscolo fino alla sua inserzione a livello del terzo medio della faccia superiore della clavicola e della faccia antero-superiore del manubrio dello sterno. L’esame può essere eseguito anche pinzando con le dita il ventre muscolare per tutta la sua estensione.
Trapezio: la palpazione si esegue in corrispondenza della sua origine a livello occipitale e del rachide cervicodorsale ed all’inserzione a livello del terzo laterale della clavicola, spina della scapola e acromion scivolando con le dita lungo tutta l’estensione del suo corpo muscolare o pinzandolo delicatamente tra il pollice e l’indice.



5.3.2.2 Articolazioni
Le due articolazioni devono essere analizzate con la palpazione per
obiettivare la presenza di movimenti asimmetrici e se è presente o meno una sensibilità durante la manovra. Si esercita una modica pressione in massima intercuspidazione e durante i movimenti di laterotrusione, di apertura, di chiusura e di protusione. La manovra si esegue analizzando separatamente le porzioni laterali e posteriori palpando contemporaneamente le due ATM affinché il paziente possa riferire eventuali differe nze di sensazione dolorosa e l’operatore possa apprezzare l’eventuale presenza di movimenti asimmetrici o impedimenti intraarticolari.
Palpazione laterale: viene eseguita ponendo l’indice ed il medio in corrispondenza dell’area del polo laterale dei condili appena anteriormente alla zona auricolare. Se la manovra evoca dolore questo depone per un interessamento della capsula articolare o del muscolo pterigoideo laterale.
Palpazione posteriore: si esegue esercitando una leggera pressione in direzione anteriore con il dito mignolo inserito nel meato acustico esterno. Se si evoca dolore si deve sospettare di interessamento delle strutture dell’articolazione o dei tessuti molli retro articolari.
TESTS:
JOINT PLAY (gioco articolare): questa manovra consente di separare, entro certi limiti, il complesso condilo-discale dalla componente temporale attraverso la mobilizzazione forzata dell’articolazione nei tre piani dello spazio. Va eseguita delicatamente senza evocare dolore per evitare la reazione di difesa con contrazione dei muscoli elevatori, la mandibola deve essere quanto di più rilassata possibile e il capo deve essere ben supportato e mantenuto ben fisso contro il corpo dell’esaminatore. Il gioco articolare viene valutato in distrazione e traslazione per rilevare il grado di elasticità dei tessuti moli intra e periarticolari ( legamenti e capsula) e le eventuali alterazioni intrarticolari. L’operatore si pone dietro al paziente bloccandone il capo contro il propriopetto e ponendo il pollice sui premolari e molari sul lato in cui si esegue il test sostenendo la mandibola con il resto della mano. Si esegue la palpazione dell’articolazione con il dito medio della mano con cui si blocca il capo mentre si esercita con il pollice posizionato intraoralmente una forza diretta verso il basso o verso l’avanti e medialmente.

JOINT/MUSCLE TEST( test articolare/muscolare): è la manovra che si utilizza per evidenziare l’eventuale presenza di dolore durante i movimenti dell’articolazione nei piani fisiologici. L’operatore si pone dietro al paziente bloccandone il capo contro il proprio petto posizionando il palmo di entrambe le mani contro il mento. Si invita il paziente ad eseguire i diversi movimenti per esaminare i vari gruppi muscolari. Prima si esercita una pressione tale da contrastare senza impedire i movimenti e poi si aumenta la pressione in modo da contrastarli energicamente fino ad impedirli. Ogni test deve durare circa 30 secondi.
- AUSCULTAZIONE
I rumori articolari di click, e di crepito vengono rilevati con la palpazione e l’auscultazione. Si deve fare estrema attenzione perché, essendo la mandibola un osso unico, il rumore generato in un’articolazione si propaga sempre anche all’altra.
- L’ ESCURSIONE ARTICOLARE
La valutazione della mobilità articolare fornisce informazioni utili sulla quantità e qualità delle escursioni e sulla presenza di dolore durante la loro esecuzioni.
Apertura attiva: è la misurazione della massima apertura della bocca e si esegue con un calibro o con un righello millimetrato facendo riferimento al margine degli incisivi superiori ed alla linea ideale dell’overbite degli incisivi superiori su quelli inferiori. Di norma il valore varia da 40 a 55 mm. Inoltre dovrebbe essere osservato anche il tragitto della mandibola sul piano frontale al fine di individuare eventuali deviazioni o deflessioni che possono essere espressione di problematiche articolari, discali o muscolari. È considerata ridotta un’apertura inferiore mentre nel caso di lassità legamentosa costituzionale avremo dei valori superiori ai 55 mm. La limitazione dell’apertura della mandibola per alterazioni intracapsulari si verifica tra i 20 e i 30 mm. La limitazione dovuta a problemi muscolari può verificarsi a qualsiasi punto anche se una limitazione a 8-10 mm è quasi certamente di origine muscolare.
Apertura passiva: dopo che il paziente ha assunto la posizione di massima apertura attiva, l’operatore poggia il pollice sul margine degli incisivi superiori e l’indice su quelli inferiori e forza delicatamente, senza evocare dolore, per aumentare la distanza interincisiva. Si valuta la sensazione obiettiva di elasticità e di rigidità e l’incremento di apertura della bocca che normalmente è di 2-3 mm. Valori superiori a 2 mm fanno sospettare un’origine muscolare della disfunzione. Al contrario, se non è possibile un aumento dell’apertura e la sensazione è descritta come “rigida” vi è motivo di sospettare la
presenza di un blocco meccanico intracapsulare.
Laterotrusione attiva: è la misurazione dello spostamento mandibolare durante i movimenti di massima lateralità destra e sinistra. L’ampiezza di tali movimenti è simmetrica e normalmente si aggira tra gli 8 e 12 mm.
Laterotrusione passiva: si ottiene forzando il movimento di massima
laterotrusione attiva possibile. Anche in questo caso si valuta l’endfeel e l’incremento dell’ampiezza di movimento che normalmente è di 1-2 mm.
Protusione: l’entità del movimento si ottiene sommando il valore dell’overjet al valore della distanza tra le superfici degli incisivi superiori e del margine incisale di quelli inferiori dopo aver invitato il paziente ad eseguire il movimento di massima protusione. In condizioni normali tale valore è compreso tra i 10 e 12 mm ed il movimento è rettilineo.
- ESAME POSTURALE
Esame morfologico e studio della verticale di Barrè
Si ricercano nei tre piani (frontale, sagittale e orizzontale) variazioni di posizione dei principali punti di repere rispetto ad un modello di posizione ortostatica ideale con particolare riferimento al cranio, alla colonna vertebrale, al bacino delle estremità inferiori. Si valuteranno, inoltre, asimmetrie e rotazioni dei segmenti scheletrici nonché la presenza di zone di alterato trofismo e/o tono muscolare.
SISTEMA “SCANPOSTURE”
Acronimo di scan ananalysis of postural relation, questo sistema è una metodica di approccio all’analisi delle variazioni generate dall’inserimento di variabili nelle entrate posturali.
Si tratta di un esame posturale mirato principalmente alle tre entrate posturali primarie: occhi, bocca e piedi. Con particolare attenzione alla contemporaneità di acquisizione dei tre dati, nei tre piani dello spazio.
Il sistema, ampiamente personalizzabile e basato su un approccio visivo e strumentale integrati, si discosta in modo significativo dalle analisi allo scoliosometro alla verticale di Barrè con standardizzazione francese e dalle analisi su piattaforma stabilimetrica, per i principi che la guidano e le metodiche utilizzate.
La possibilità di valutare le interconnessioni fra sistema stomatognatico e altri sistemi è mediata da un approccio differenziale consequenziale. Una volta acquisito un “baseline” ovvero un atteggiamento posturale abituale, vengono introdotte variabili ad hoc, ad esempio prima il test ad occhi chiusi che potrebbe smascherare un torcicollo oculare e poi un test di svincolo occlusale che potrebbe invece evidenziare un torcicollo occlusale.
LO STRUMENTO DI ANALISI
Per indagare più efficacemente le variazioni ed evitare, il più possibile falsi positivi, si è proceduto a modificare la metodologia della verticale di Barrè. In primo luogo, la normalizzazione francese, indica una visione da dietro, in quanto la tecnica è nata per apprezzare distretti corporei quali colonna vertebrale, le scapole, le sips, la linea interglutea. Non viene data importanza all’atteggiamento dello sguardo, alla situazione occlusale istantanea. Inoltre le proiezioni laterali sono ottenute con rotazione del paziente di 90° e conseguente nuovo atteggiamento posturale. Dal momento che non possiamo effettuare la analisi in uno spazio totalmente uniforme a 360°, inevitabilmente lo sguardo si fisserà su elementi non necessariamente alla stessa altezza, e alla stessa distanza, spesso neanche allineati con la verticale. Questo determina come risultante, che spesso le 4 foto (visione posteriore, fianco dx, fianco sx, anteriore ) siano in discrepanza fra loro.
Il sistema Scanposture poggia su sei basi imprescindibili:
- Non muovere il paziente e procedere alla acquisizione dei dati nello stesso momento.
- Analizzare il paziente di fronte, con una mira ben precisa davanti a lui.
- Procedere alla analisi di profilo in contemporanea a quella frontale.
- Richiedere una postazione immutabile per poter confrontare nel tempo le diverse acquisizioni.
- Procedere ad acquisizioni fotografiche digitali.
- Avere un’ integrazione podalica contemporanea ( podoscopio, bilance, pedana stabilimetrica,/baropodometrica.
Tutto questo si può ottenere con una piccola modifica del concetto di scoliosometro. Partendo dal presupposto che un filo a piombo davanti al paziente può indurlo, inconsciamente, ad un riallineamento di simmetria, oppure a traguardare i due fili (che dovrebbero dare l’asse di acquisizione ) con un occhio e quindi involontariamente spostarsi sul lato dell’occhio dominante, si è eliminato il filo a piombo e tutte le lineedi simmetria che di norma sono al davanti del paziente. Quindi è stato creato un fondo quadrettato posteriore e una linea mediana posteriore perfettamente allineata con una macchina fotografica digitale fissata rigidamente al muro di fronte. In questo modo non abbiamo la necessità di allineare i fili a piombo per evitare effetti di parallasse. In questo modo non abbiamo la necessità di allineare i fili a piombo per evitare effetti di parallasse. Per fare la acquisizione contemporanea di fronte e di profilo è stato aggiunto uno specchio laterale. Sotto i piedi una pedana baropodometrica che fornisce informazioni più immediate e comprensibili.
SCHEDA DI AQUISIZIONE
Abituale
Con questo termine indichiamo lo “status” del paziente, quindi con i suoi eventuali occhiali o lenti a contatto, senza dare alcun riferimento o determinare attenzione alla posizione occlusale del momento. In pratica non si da alcuna informazione, si spiega solamente di fissare un punto predeterminato e di stare sciolto non sull’attenti, come normalmente si comporta.
Gamba corta o gibbo
Il paziente, di chiena a piedi uniti, allineato alle linee di simmetria e posizionato davanti alla pedana, viene fatto flettere a 90°. Si chiede di fare un movimento dolce,flettendo prima il capo e poi il tronco, senza flettere le ginocchia e mantenendo le braccia distese. Si ferma la posizione voluta e si scatta una foto. Di norma si genera un gibbo dal lato della gamba corta.
Piedi uniti abituale
Il test a piedi uniti è un test stressogeno ma di grande valenza di ripetibilità nel tempo. L’unica posizione sempre uguale e ripetibile che permette di analizzare l’evoluzione del sistema posturale durante la terapia.
Posizione di comodo del paziente a piedi simmetrici rispetto alla mediana in abituale e con eventuali occhiali
Questo è il vero inizio della acquisizione per la diagnosi differenziale. In realtà questa acquisizione non è esattamente ripetibile in quanto la posizione podalica può subire variazioni tra una giornata ed un’altra Viene considerata una “baseline” perché fotografa la situazione oggettiva “normale” del paziente, la sua evoluzione posturale nel tempo. Infatti non dobbiamo pensare che tale evoluzione non passi anche per una variazione dello schema di appoggio plantare. Moltissime volte si assiste a normalizzazioni di piedi piatti o cavi alla inconscia riduzione di una extra o intra rotazione di un piede.
Test di varianza senza occhiali
Se sono presenti occhiali si esegue il test per analizzare eventuali modifiche della posizione del capo.
Test di varianza occhi chiusi
In questo caso si analizza la eventuale scomparsa di un atteggiamento posturale indotto da un torcicollo oculare. Spostamenti in avanti o indietro alla verticale, sono normali compensi del sistema a occhi chiusi.
Test di varianza con rasterbrille
Questo test dovrebbe normalizzare eventuali dismetrie mal corrette con il principio del diaframma molto piccolo. Questo test può essere poco indicativo ma un significativo miglioramento della postura del capo permette di orientare maggiormente la diagnosi differenziale verso il distretto oculare.
A questo punto il compartimento visivo/posturale è stato vagliato, si passa dunque a testare il sistema stomatognatico.
Test in abituale denti socchiusi
Si ripete il test in abituale, ma questa volta conoscendo l’atteggiamento occlusale.
Test in abituale oculare con denti chiusi
Ancora si chiede al paziente di tenere i denti chiusi senza forzare (considerato il baseline dentale in quanto sempre ripetibile).
Test in abituale oculare con spot (lingua sul palato)
Si chiede al paziente di mettere la lingua allo spot palatino facendo mantenere i denti non in contatto, con la eventuale correzione diottrica abituale.
Test in abituale oculare con massima apertura della bocca
Eseguito in massima apertura della bocca senza sforzo o dolore, fornisce molte informazioni, specie in pazienti fortementelaterodeviati, sulla necessità di riallineamento occlusale in riferimento al sistema posturale. Importantissimo in presenza di scoliosi.
Test in abituale oculare con svincolo occlusale
Eseguito con bite idrodinamico, offre importantissime informazioni sulla primarietà del sistema del sistema stomatognatico e del distretto cervicale sul sistema posturale.
Test occhi chiusi con svincolo occlusale
Facciamo la verifica inversa. Come si sarà comportato il sistema visivo alla variazione occlusale? Molto spesso si assiste a pazienti che ai primi test evidenziano un torcicollo oculare (forie? Astigmatismi?) che scompare o si riduce moltissimo. Se questo avviene, la partenza della terapia diventa certamente occlusale.
Quanto schema di approccio ad una analisi, il più ripetibile possibile, ha come obiettivo portare ad una diagnosi differenziale attendibile. Il principio è sempre lo stesso: analisi della varianza ad uno stimolo. Detto questo, si possono eseguire tanti altri test, per esempio con solette propiocettive, riposizionamento dell’atlante, magneti oculari, lenti prismatiche e tutto quello che può essere utile e interessante secondo la propria esperienza.
SCHEMA COSTRUTTIVO
-Un fondale quadrettato con una linea mediana ben evidenziata, possibilmente con dei riferimenti di altezza oculare.
-Una pedana baropodomerica con croce di allineamento linea mediana e malleoli (oppure pedana stabilometrica, due semplici bilance meccaniche)
-Un sistema di mira sulla parete opposta.
-Una macchina fotografica digitale rigidamente fissatala muro di fronte e perfettamente allineata al sistema.
-Uno specchio laterale ed eventualmente superiore.
-Un sistema di illuminazione a doppia luce per generare ombre.
-Un computer con un programma di visualizzazione immagini ed eventualmente con software per pedana.
CAPITOLO 6
AMBITI D’AZIONE E TERAPIA, RIABILITAZIONE MULTIDISCIPLINARE
Lo scopo del fisioterapista è riuscire, attraverso le proprie conoscenze e la propria esperienza e riconoscendo i propri ambiti e i propri limiti d’azione, a risolvere il problema che affligge il paziente. Prendendo in esame l’argomento trattato in questa tesi sembra ovvio che il compito principale del terapista sia quello di identificare la causa dello squilibrio e dell’alterazione posturale e da qui partire, dopo aver constatato che l’ambito di intervento sia di sua pertinenza, per impostare un adeguato programma riabilitativo. Per far ciò è fondamentale impostare un corretto iter diagnostico che permetta un’approfondita anamnesi del paziente e successivamente, attraverso la somministrazione di test e per mezzo dell’esame obiettivo, una corretta diagnosi funzionale. Una diagnosi corretta è un presupposto necessario ma non sufficiente per costruire un piano di trattamento adeguato. Nella costruzione di un corretto intervento fisioterapico si dovrebbe tener conto, oltre che della diagnosi medica, anche degli aspetti disfunzionali che caratterizzano il quadro clinico e della natura complessa e multifattoriale dei disordini posturale. La gestione clinica dei pazienti affetti da alterazioni posturali è ostacolata dalla natura multifattoriale di tale patologia e dalla possibile sovrapposizione di sintomi provenienti dall’apparato stomatognatico, con disturbi provenienti da distretti contigui o generati da problematiche sistemiche. Tali caratteristiche rendono necessario un approccio multidisciplinare in cui intervengano simultaneamente più figure professionali e, proprio in questo contesto, il fisioterapista diventa una figura di rilievo all’interno del team che si occupa della gestione del paziente affetto da problematiche posturali. Fondamentale sarà quindi, in primo luogo, una adeguata diagnosi differenziale del problema posturale che permetta, attraverso il test del “bite idrodinamico” o dei “rulli di cotone”, di identificare se il recettore stomatognatico, in particolare del piano occlusale dentale, giochi un ruolo di primo ordine nella genesi del disturbo e dello squilibrio posturale e in seguito del dolore che quest’ultimo può provocare. Se risulterà negativo, allora si procederà, per mezzo della somministrazione di altri test a carattere posturale e servendosi di esami strumentali come possono essere il baropodometro, l’analisi stabilometrica, il sistema BAK e l’elletromiografia di superficie e la kinesigrafia, all’individuazione della possibile causa generatrice dell’alterazione posturale che verrà valutata per mezzo dello scoliometro.
Se invece il risultato del test dovesse essere positivo, allora si potrà pensare di contattare un dentista-gnatologo e da li impostare un progetto correttivo-riabilitativo multidisciplinare che abbia come scopo la correzione della causa scatenante e la riequilibrazione delle componenti muscolari al fine di raggiungere una postura più fisiologica possibile eliminando la sintomatologia dolorosa. Agendo in collaborazione con altre figure sanitarie sarà agevolato anche l’iter diagnostico grazie all’unione di più conoscenza specifiche e si sarà in grado di stabilire in modo più preciso i termini, gli obiettivi e le modalità che verranno utilizzate nel corso del trattamento multidisciplinare. Si stileranno le priorità di trattamento e i campi d’azione delle rispettive figure al fine di garantire al paziente il miglior risultato possibile in base alle sue pretese dello stesso, all’entità e al tipo di problematica. Alla fine del trattamento sarà fondamentale valutare la nuova condizione di salute generale dello stesso paziente al fine di registrarne i risultati e valutarne i miglioramenti. In particolare il trattamento fisioterapico si avvarrà di utilizzare più tecniche differenti al fine di raggiungere il proprio risultato: esercizi di stretching,esercizi di controllo neuromuscolare, esercizi posturali, mobilizzazioni, massaggi, tecniche di terapia manuale, etc.
CONCLUSIONI
Concludendo la mia esposizione posso enunciare qual’era il mio obiettivo ad inizio trattazione: In un mondo e in una società che richiede sempre più professionisti sanitari specializzati di un determinato argomento,di una determinata area corporea o di una determinata funzione risulta fondamentale ricordarsi sempre che l’organismo umano rappresenta un’unità in continuo equilibrio dinamico per quanto riguarda l’integrità delle sue strutture e delle sue funzioni, e in quanto unità appare ovvio che essa sia indivisibile e che debba essere trattata e conosciuta sempre nella sua totalità e complessità. per ogni esame obiettivo e per ogni trattamento e progetto terapeutico-riabilitativo si debba tener conto di ogni possibile fattore che possa essere la causa dell’insorgenza della patologia influenzandone la sua evoluzione e la sua prognosi. Quindi, per quanto riguarda i disturbi posturali si può affermare che per un professionista sanitario affrontare la clinica delle disfunzioni posturali secondo un’ottica sistemica ed olistica è un dovere imprescindibile.
“trattando dell’interferenza del piano occlusale dentale sulla postura si è messo in evidenza come l’accorciamento sistemico muscolare derivato da un problema primario strutturale si riveli con una certa frequenza, circa il 30 % delle sintomatologie di brachiocervicalgia associata ad alterazione posturale del rachide cervicale risulta sostenuta da problematiche occlusali, la percentuale è inferiore, ma non azzerata, per problematiche interessanti distretti corporei sottostanti”. Infine, risulta fondamentale concludere questo trattato, ribadendo l’importanza di come le prove di evidenza scientifica, i trials, le revisioni, i casi e gli studi debbano essere la base del procedere e del ragionamento clinico e di come la clinica stessa debba essere supportata da tutto ciò per essere effettivamente utile al trattamento riabilitativo.
BIBLIOGRAFIA
1) C.Balboni et al. Anatomia Umana casa editrice EDI-ERMES 1997
2) A. Woda Fisiologia del sistema stomatognatico casa editrice MASSON ITALIA EDITORI 1984
3) D.K. PoKorny “I principi dell’occlusione” Ed. Scienza e tecnica dentistica, Milano(1983).
4) G.Bergamini articolo “Dental occlusion and body posture: a surface EMG study” 2008
5) H. Ohmure et al. articolo “Influence of forward head posture on condylar position” Journal of Oral Rehabilitation 2008
6) T. Shimazaki et al. articolo “ The effect of occlusal alteration and masticatory imbalance on the cervical spine” European Journal of Orthodontics 2003
7) A.Michelotti et al. dossier “Occlusione e postura:associazioni tra apparato stomatognatico, disordini dell’atm e alterazioni posturali”
8) U. Montecorboli articolo “Neurofisiologia e biomeccanica dell’apparato stomatognatico”
9) G.Gallozzi articolo “Prevenzione, postura ed equilibrio corporeo dinamico”
10) S.Biavati articolo “La postura del capo nella patogenesi dello
squilibrio posturale,ruolo dell’occlusione dentale e del sistema visivo”
11) Mauro Lastrico “Biomeccanica muscolo-scheletrica e metodica Mézières” Marrapese editore 2009